Viêm cầu thận: Nguyên nhân, triệu chứng, chẩn đoán và cách điều trị hiệu quả

Giới thiệu

Bài viết dưới đây sẽ giúp bạn hiểu rõ viêm cầu thận là gì, nguyên nhân, triệu chứng, biến chứng nguy hiểm và cách phòng ngừa – điều trị. Qua đó, bạn sẽ có cái nhìn đúng đắn và chủ động hơn trong việc chăm sóc sức khỏe thận.

Thận là một trong những cơ quan quan trọng bậc nhất của cơ thể, đóng vai trò như “máy lọc sinh học” giúp đào thải độc tố và giữ lại dưỡng chất cần thiết. Trong thận, cầu thận chính là cấu trúc đảm nhiệm nhiệm vụ lọc máu. Khi bị tổn thương hoặc viêm nhiễm, chức năng lọc này bị rối loạn, dẫn đến hàng loạt hệ lụy sức khỏe. Tình trạng đó được gọi là viêm cầu thận.

viem-cau-than


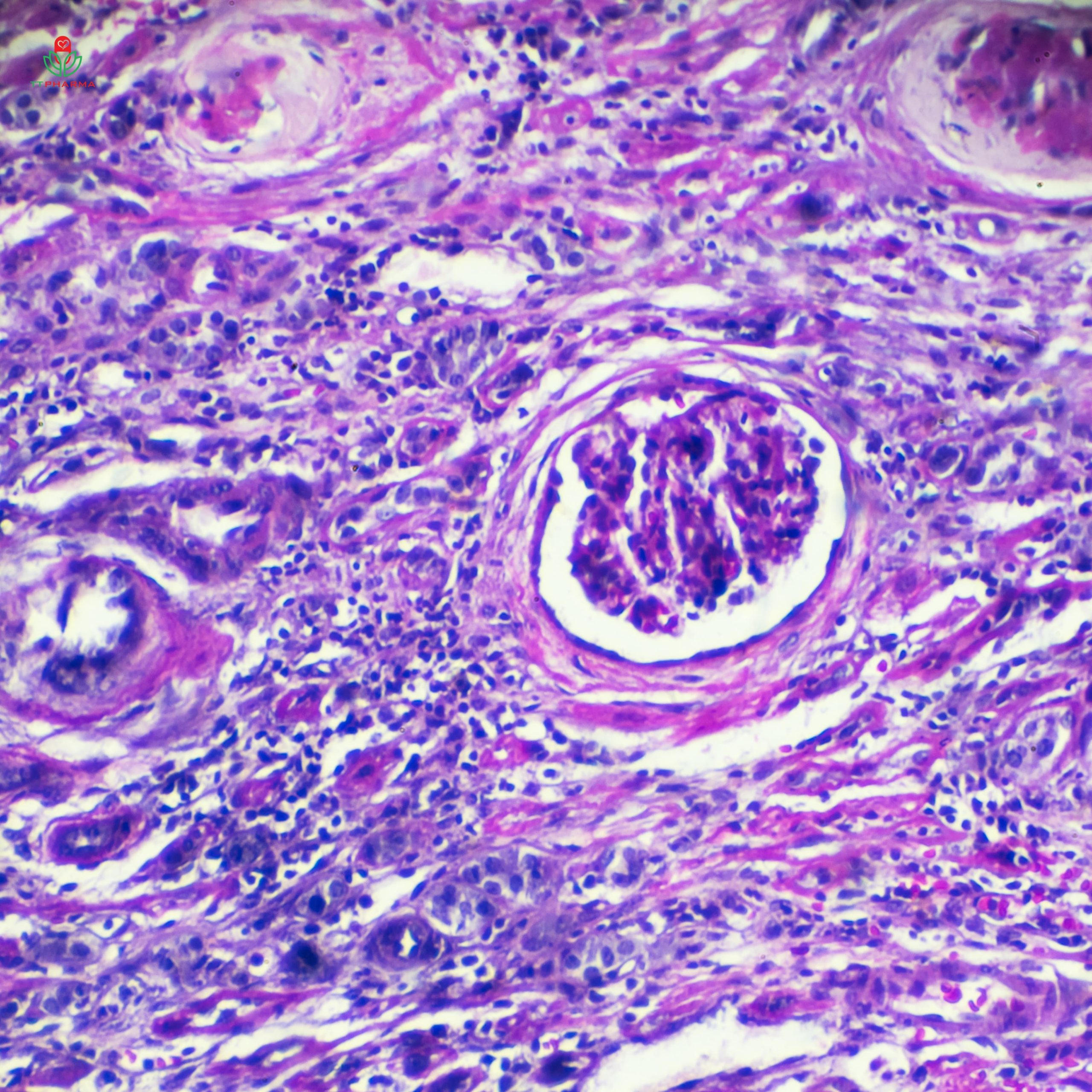
Viêm cầu thận là gì?

Viêm cầu thận (Glomerulonephritis) là tình trạng viêm xảy ra tại các cầu thận – cấu trúc siêu nhỏ trong thận có nhiệm vụ lọc máu và loại bỏ chất thải. Khi cầu thận bị viêm, chức năng lọc sẽ bị ảnh hưởng:

  • Chất độc, muối và nước dư thừa không được đào thải hết.

  • Các chất cần thiết (như protein, hồng cầu) có thể bị rò rỉ ra ngoài qua nước tiểu.

Tùy mức độ và nguyên nhân, viêm cầu thận có thể xuất hiện cấp tính (diễn ra nhanh, triệu chứng rõ rệt) hoặc mạn tính (kéo dài, âm thầm tiến triển). Nếu không được điều trị, bệnh có thể dẫn đến suy thận mạn – biến chứng nguy hiểm, ảnh hưởng trực tiếp đến tính mạng.

viem-cau-thanHiểu rõ thế nào là viêm cầu thận


Nguyên nhân gây viêm cầu thận

Nhiễm trùng liên cầu khuẩn

  • Đây là nguyên nhân phổ biến nhất, đặc biệt ở trẻ em.

  • Sau khi bị viêm họng, viêm amidan, viêm da do liên cầu khuẩn, hệ miễn dịch có thể phản ứng quá mức, tấn công nhầm vào cầu thận, gây viêm.

Bệnh tự miễn

Một số bệnh lý tự miễn khiến cơ thể tấn công nhầm vào chính mô của mình, trong đó có cầu thận:

  • Lupus ban đỏ hệ thống.

  • Viêm mạch máu.

  • Hội chứng Goodpasture.

Bệnh mạn tính

  • Tiểu đường: Gây tổn thương lâu dài ở cầu thận, dẫn đến biến chứng gọi là bệnh thận do đái tháo đường.

  • Tăng huyết áp: Làm hỏng mạch máu nhỏ trong cầu thận.

  • Viêm gan virus B, C: Có thể làm xuất hiện phản ứng miễn dịch gây viêm cầu thận.

Nguyên nhân khác

  • Di truyền (thận đa nang, bất thường miễn dịch).

  • Tác dụng phụ của thuốc (một số thuốc kháng viêm, kháng sinh).

  • Tiếp xúc hóa chất độc hại.


Triệu chứng của viêm cầu thận

Viêm cầu thận có thể biểu hiện rất đa dạng. Một số bệnh nhân gần như không có triệu chứng rõ rệt, chỉ phát hiện tình cờ qua xét nghiệm nước tiểu. Tuy nhiên, những dấu hiệu thường gặp gồm:

Biểu hiện ở đường tiểu

  • Tiểu máu: Nước tiểu có màu đỏ, nâu hoặc giống màu cola.

  • Tiểu ít: Lượng nước tiểu giảm so với bình thường.

  • Nước tiểu có bọt: Dấu hiệu của protein rò rỉ ra ngoài.

Biểu hiện toàn thân

  • Phù nề: Xuất hiện ở mí mắt, mặt, bàn chân, cổ chân.

  • Huyết áp tăng cao: Do thận giữ muối và nước.

  • Mệt mỏi, chán ăn, buồn nôn: Khi độc tố tích tụ trong máu.

  • Khó thở: Do ứ dịch trong phổi (trường hợp nặng).

viem-cau-thanMột số hình mình họa biểu hiện của viêm cầu thận


Các dạng viêm cầu thận

Viêm cầu thận cấp tính

  • Xuất hiện nhanh sau khi nhiễm trùng (ví dụ viêm họng, viêm da).

  • Triệu chứng rõ: phù, tiểu máu, tăng huyết áp.

  • Có thể hồi phục nếu được điều trị sớm.

Viêm cầu thận mạn tính

  • Tiến triển âm thầm nhiều năm.

  • Triệu chứng không rõ ràng, thường chỉ phát hiện khi bệnh đã nặng.

  • Nguy cơ cao dẫn đến suy thận mạn.


Biến chứng nguy hiểm của viêm cầu thận

Nếu không điều trị đúng cách, viêm cầu thận có thể gây ra:

  • Suy thận cấp hoặc mạn: Chức năng thận giảm nghiêm trọng, cần lọc máu hoặc ghép thận.

  • Hội chứng thận hư: Mất nhiều protein qua nước tiểu, gây phù toàn thân.

  • Tăng huyết áp kéo dài: Nguy cơ nhồi máu cơ tim, đột quỵ.

  • Thiếu máu mạn tính: Do thận không sản xuất đủ hormone erythropoietin.

  • Ảnh hưởng tim mạch, xương khớp, hệ miễn dịch.


Chẩn đoán viêm cầu thận

Để xác định chính xác, bác sĩ có thể chỉ định:

  • Xét nghiệm nước tiểu: Tìm máu, protein, tế bào bất thường.

  • Xét nghiệm máu: Đánh giá ure, creatinine (chức năng thận).

  • Siêu âm thận: Xem hình thái thận.

  • Sinh thiết thận: Lấy mẫu mô thận để xác định nguyên nhân và mức độ viêm.


Điều trị viêm cầu thận

Điều trị phụ thuộc vào nguyên nhân và mức độ tổn thương. Một số phương pháp:

Thuốc

  • Kháng sinh: Nếu nguyên nhân do nhiễm khuẩn.

  • Thuốc ức chế miễn dịch, corticoid: Khi liên quan đến bệnh tự miễn.

  • Thuốc hạ áp, lợi tiểu: Kiểm soát huyết áp và giảm phù.

  • Thuốc hạ mỡ máu: Giảm gánh nặng cho thận.

Chế độ ăn uống

  • Ăn nhạt (hạn chế muối).

  • Hạn chế protein khi chức năng thận suy giảm.

  • Uống đủ nước, tránh rượu bia, thuốc lá.

Can thiệp y tế

  • Lọc máu nhân tạo: Khi suy thận giai đoạn cuối.

  • Ghép thận: Giải pháp duy nhất trong trường hợp thận mất chức năng hoàn toàn.


Cách phòng ngừa viêm cầu thận

  • Điều trị dứt điểm viêm họng, viêm da, nhiễm trùng.

  • Kiểm soát huyết áp và đường huyết.

  • Hạn chế muối, đồ ăn chế biến sẵn, bia rượu.

  • Không lạm dụng thuốc giảm đau, kháng viêm.

  • Khám sức khỏe định kỳ, xét nghiệm nước tiểu khi có dấu hiệu bất thường.


Kết luận

Viêm cầu thận là căn bệnh có thể xuất hiện ở nhiều lứa tuổi, từ trẻ em đến người trưởng thành. Dù đôi khi biểu hiện âm thầm, nhưng hậu quả lại vô cùng nặng nề, đặc biệt là nguy cơ suy thận mạn tính.

👉 Hiểu rõ nguyên nhân, triệu chứng và chủ động thăm khám sớm chính là chìa khóa để phòng ngừa và điều trị hiệu quả.
👉 Hãy duy trì lối sống lành mạnh, ăn uống khoa học và kiểm tra sức khỏe định kỳ – đó là cách tốt nhất để bảo vệ “bộ lọc sinh học” quý giá của cơ thể.

Đánh giá

Để lại một bình luận

Email của bạn sẽ không được hiển thị công khai. Các trường bắt buộc được đánh dấu *

Zalo Chat Facebook Gọi ngay